Comparte esto:

">
  • 16 mayo, 2026

Argentina reporta caso sospechoso de viruela del mono

Voz de América – Redacción

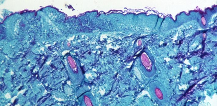
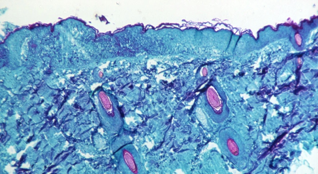
El Ministerio de Salud de Argentina informó el domingo que había detectado un caso sospechoso de viruela del mono en Buenos Aires, en medio de una creciente alarma mundial por el aumento de casos en Europa y otros lugares de la infección viral más común en África occidental y central.

Un resumen del brote de la Organización Mundial de la Salud (OMS) el sábado reportó 92 casos confirmados y 28 casos sospechosos de viruela del mono, principalmente en Europa pero también en Canadá, Estados Unidos y Australia.

Aún no hay casos confirmados en América Latina.

Las autoridades sanitarias de Argentina dijeron que el caso sospechoso era un residente de la provincia de Buenos Aires con síntomas compatibles con la viruela del mono que había viajado recientemente a España. El paciente estaba en buenas condiciones y aislado mientras se realizaban las pruebas, agregó el ministerio.

El residente se presentó en un centro de salud “con síntomas compatibles con viruela del mono, por cuanto presenta pústulas en distintas partes del cuerpo y fiebre”, indica el comunicado.

Un laboratorio argentino analiza las muestras para determinar si se trata o no de la enfermedad. Las autoridades argentinas informaron de la conformación de una mesa de trabajo para “coordinar las acciones clínicas, diagnósticas y epidemiológicas con el fin de confirmar o descartar el caso” y tomar medidas para evitar su transmisión.

OMS trabaja en guía para enfrentar la viruela del mono

La Organización Mundial de la Salud (OMS) está elaborando nuevas orientaciones para los países sobre cómo mitigar la propagación de la viruela del mono, ante la preocupación de que los casos puedan aumentar en los meses de verano, dijo a Reuters uno de los principales asesores de la agencia de la ONU

El supuesto del trabajo de la OMS, basada en los casos identificados hasta ahora, es que el brote está siendo impulsado por el contacto sexual, dijo David Heymann, presidente del Grupo Asesor Estratégico y Técnico de la OMS sobre Peligros Infecciosos con Potencial Pandémico y Epidémico.

La OMS, sin embargo, ha destacado que el riesgo de transmisión entre humanos es moderado.

“La transmisión entre parejas sexuales, debido al contacto íntimo durante las relaciones sexuales con lesiones cutáneas infecciosas, parece ser el modo probable de transmisión”, señalan.

Ante la posibilidad de un caso sospechoso, las autoridades llaman a aislarse socialmente y usar adecuadamente mascarillas, ambientes ventilados y distancia entre personas, entre otras medidas.

Comentarios